Allineatori: pianificazione e biomeccanica nei casi multidisciplinari
Pianificazione strategica e controllo biomeccanico per risultati predicibili
Trailer del corso
Programma
Questo videocorso approfondisce in modo sistematico e clinicamente applicabile il ruolo degli allineatori nella gestione dei casi multidisciplinari complessi.
Partendo dall’evoluzione dell’odontoiatria estetica e dall’integrazione dei flussi digitali, il percorso guida il professionista nella pianificazione ortodontica face-driven e nella gestione biomeccanica dei movimenti dentali in ottica orto-restaurativa, orto-perio e orto-implantare.
Attraverso il concetto di Reshape Esthetics, il corso illustra come integrare correttamente ortodonzia, estetica e riabilitazione protesica, utilizzando in modo consapevole i software digitali e ottimizzando la biomeccanica degli allineatori per il controllo degli spazi, delle intrusioni, degli uprighting e della preparazione protesica.
L’approccio è pratico e supportato da casi clinici reali, immediatamente trasferibili nella pratica quotidiana.
Perché seguire questo corso?
Per acquisire un metodo strutturato di pianificazione multidisciplinare in cui l’ortodonzia con allineatori diventa parte integrante della riabilitazione estetica e funzionale del paziente, superando il concetto di semplice allineamento dentale.
Cosa imparerai:
► Pianificazione ortodontica multidisciplinare e backward planning
► Approccio face-driven alla progettazione del sorriso
► Biomeccanica avanzata degli allineatori
► Gestione clinica degli spazi (micro e grandi spazi)
► Integrazione orto-resto-perio-implantare
► Utilizzo critico e consapevole dei software digitali
► Controllo dei movimenti complessi finalizzati al restauro e all’implantologia
Perché è un corso indispensabile oggi?
L’evoluzione dei flussi digitali e l’aumento delle richieste estetiche rendono fondamentale un aggiornamento continuo.
L’odontoiatria moderna richiede competenze trasversali e capacità di pianificazione integrata per garantire risultati prevedibili, estetici e stabili nel tempo.
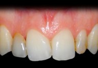
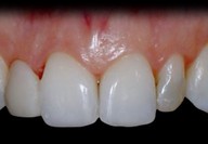
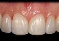
Galleria fotografica
Relatori:
Dott.ssa Camilla Molinari
La Dott.ssa Camilla Molinari è odontoiatra specializzata in Ortogantodonzia, con attività clinica e accademica di alto profilo. È titolare e Direttore Sanitario delle Cliniche Molinari Salute (Modena) e dirige il reparto di ortodonzia invisibile, odontoiatria estetica ed estetica periorale.
Svolge attività universitaria come docente presso il Master di II livello in Odontoiatria Digitale (Università di Brescia) e come Prof. a.c. presso l’Università di Padova. È relatrice in corsi e congressi nazionali e internazionali e co-founder del progetto Re-Shape Esthetics.
Ha conseguito la Specializzazione in Ortognatodonzia (Università di Ferrara) e un Master di II livello in Estetica Orale e Periorale (Università di Parma). È certificata Digital Smile Design e Invisalign Diamond Provider.
Nel 2024 ha vinto per l’Italia il concorso internazionale under 40 in estetica dentale al World Esthetic Congress (IFED).
È membro attivo di diverse società scientifiche (SIED, POIESIS, EBO, IAED) e contributor in pubblicazioni e testi scientifici in ambito ortodontico ed estetico.
Informazioni ECM
Crediti ECM: 15,0
Codice di accreditamento: 480222
Ambito/Obiettivo formativo: CONTENUTI TECNICO-PROFESSIONALI (CONOSCENZE E COMPETENZE) SPECIFICI DI CIASCUNA PROFESSIONE, DI CIASCUNA SPECIALIZZAZIONE E DI CIASCUNA ATTIVITÀ ULTRASPECIALISTICA. MALATTIE RARE
Periodo Accreditamento: 16/03/2026 – 15/03/2027
Professioni
Discipline
Medico chirurgo
- Allergologia ed immunologia clinica, Anatomia patologica, Anestesia e rianimazione, Angiologia, Audiologia e foniatria, Biochimica clinica, Cardiochirurgia, Cardiologia, Chirurgia generale, Chirurgia maxillo-facciale, Chirurgia pediatrica, Chirurgia plastica e ricostruttiva, Chirurgia toracica, Chirurgia vascolare, Continuità assistenziale, Cure palliative, Dermatologia e venereologia, Direzione medica di presidio ospedaliero, Ematologia, Endocrinologia, Epidemiologia, Farmacologia e tossicologia clinica, Gastroenterologia, Genetica medica, Geriatria, Ginecologia e ostetricia, Igiene degli alimenti e della nutrizione, Igiene, epidemiologia e sanità pubblica, Laboratorio di genetica medica, Malattie dell'apparato respiratorio, Malattie infettive, Malattie metaboliche e diabetologia, Medicina aeronautica e spaziale, Medicina del lavoro e sicurezza degli ambienti di lavoro, Medicina dello sport, Medicina di comunità, Medicina e chirurgia di accettazione e di urgenza, Medicina fisica e riabilitazione, Medicina generale (medici di famiglia), Medicina interna, Medicina legale, Medicina nucleare, Medicina termale, Medicina trasfusionale, Microbiologia e virologia, Nefrologia, Neonatologia, Neurochirurgia, Neurofisiopatologia, Neurologia, Neuropsichiatria infantile, Neuroradiologia, Oftalmologia, Oncologia, Organizzazione dei servizi sanitari di base, Ortopedia e traumatologia, Otorinolaringoiatria, Patologia clinica (laboratorio di analisi chimico-cliniche e microbiologia), Pediatria, Pediatria (pediatri di libera scelta), Privo di specializzazione, Psichiatria, Psicoterapia, Radiodiagnostica, Radioterapia, Reumatologia, Scienza dell'alimentazione e dietetica, Urologia
Odontoiatra
Odontoiatria
Iscriviti
Accedi e scegli se acquistare con bonifico bancario, paypal o carta di credito per l'attivazione immediata del corso. Puoi sospendere la visione in qualunque momento per riprenderla anche da un altro computer, tablet o cellulare.
Contenuti
Devi effettuare l'iscrizione al corso per visualizzare i contenuti
Valutazione corso
Come valuta la rilevanza degli argomenti trattati rispetto alle sue necessità di aggiornamento?
(1: Non rilevante - 5: Molto rilevante)
Come valuta la qualità educativa di questo programma FAD?
(1: Insufficiente - 5: Eccellente)
Come valuta la utilità di questo evento per la sua formazione/aggiornamento?
(1: Insufficiente - 5: Molto utile)





