Allineatori: pianificazione e biomeccanica nei casi multidisciplinari
Pianificazione strategica e controllo biomeccanico per risultati predicibili
Trailer del corso
Programma
Non rinunciare ai casi clinici multidisciplinari complessi. Il protocollo per riabilitare la funzione con la sicurezza di un esperto. Trasforma l’incertezza della pianificazione orto-protesica in un flusso operativo rigido, semplificato e prevedibile.
Molti professionisti si sentono sicuri solo finché operano nella "routine quotidiana" del semplice allineamento dentale o della conservativa tradizionale. Tuttavia, quando le esigenze cliniche o la necessità di affrontare casi multidisciplinari complessi impongono di variare l'approccio e integrare le terapie orto-restaurative, orto-perio e orto-implantari, l'incertezza prende il sopravvento. La paura di commettere errori nella gestione biomeccanica dei movimenti, di non saper controllare gli spazi o di sbagliare la preparazione protesica finale spesso porta a rinunciare a piani di trattamento importanti e ad alto valore percepito.
Affrontare una riabilitazione estetica integrata senza una sequenza ben codificata espone a rischi gravi: fallimenti funzionali, instabilità nel tempo e insoddisfazione del paziente. Ogni errore nella fase di utilizzo dei software digitali, di gestione delle intrusioni o di pianificazione face-driven si traduce in ore di lavoro perse alla poltrona e in un aumento esponenziale dello stress per il clinico e del disagio per il paziente.
Il Sistema Re-Shape Esthetics: Protocollo Semplificato per Casi Multidisciplinari Prevedibili
Questo videocorso trasforma la complessità dell'ortodonzia integrata e dei flussi digitali in un protocollo rigido ma semplificato. Il programma, guidando il professionista attraverso l'approccio del backward planning e della progettazione face-driven, ti offre un flusso operativo che unisce la biomeccanica avanzata degli allineatori al controllo millimetrico dei movimenti (uprighting, intrusioni e controllo degli spazi), garantendo risultati estetici e funzionali d'eccellenza alla portata di tutti.
Cosa imparerai: I Pilastri del Protocollo Multidisciplinare Avanzato
► Pianificazione Face-Driven e Backward Planning: Distinguere le diverse fasi del progetto orto-protesico per definire la corretta strategia d'intervento prima di iniziare le cure
► Ottimizzazione della Biomeccanica: Tecniche precise per gestire i movimenti dentali complessi (intrusioni, uprighting) finalizzati al successivo restauro e all'implantologia
► Padronanza dei Software Digitali: Come utilizzare in modo critico, consapevole e integrato gli strumenti digitali per l'analisi e lo sviluppo del sorriso
► Gestione Sincronizzata degli Spazi: Applicare protocolli operativi immediati per il controllo di micro e grandi spazi, non come ostacolo, ma come preparazione ideale del caso clinico
Argomenti
► Introduzione all'Odontoiatria Estetica: Una panoramica sull'evoluzione attuale del settore e sui vantaggi dell'integrazione multidisciplinare
► Flussi Digitali Integrati: Approfondimento sull'integrazione delle tecnologie moderne per la pianificazione e la prevedibilità del trattamento
► Pianificazione Face-Driven: Strategie cliniche per la progettazione del sorriso basata sull'estetica globale del volto del paziente
► Filosofia del Backward Planning: Analisi e applicazione della pianificazione inversa nei casi orto-resto-perio-implantari
► Software Digitali nel Dettaglio: Linee guida per un utilizzo critico, consapevole e ottimizzato dei programmi digitali di modellazione
► Biomeccanica Avanzata degli Allineatori: Principi e forze per il controllo dei movimenti dentali complessi nella pratica quotidiana
► Gestione Clinica degli Spazi: Protocolli operativi per il trattamento e il controllo di micro e grandi spazi edentuli
► Movimenti Ortodontici Finalizzati: Tecniche di intrusione e uprighting per la preparazione ottimale del sito protesico e implantare
► Integrazione Orto-Resto-Perio: Sinergia clinica tra le diverse discipline per garantire risultati stabili, estetici e funzionali
► Analisi di Casi Clinici Reali: Studio step-by-step di casi complessi per un apprendimento pratico e immediatamente trasferibile alla poltrona
Strumenti Pratici e Supporto:
► Materiale Didattico Esclusivo: Casi clinici reali e linee guida dettagliate in formato digitale per migliorare l'applicazione pratica del protocollo
► Tutoraggio Dedicato: Supporto diretto via mail per chiarimenti tecnici sui contenuti del corso, con risposta garantita entro 48 ore
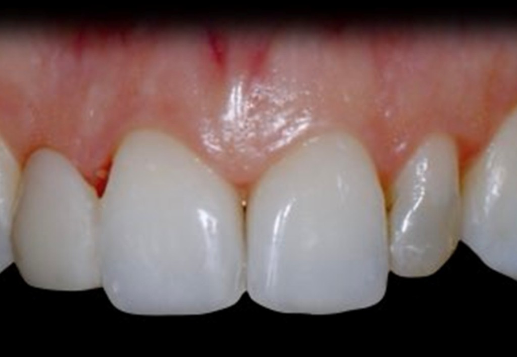
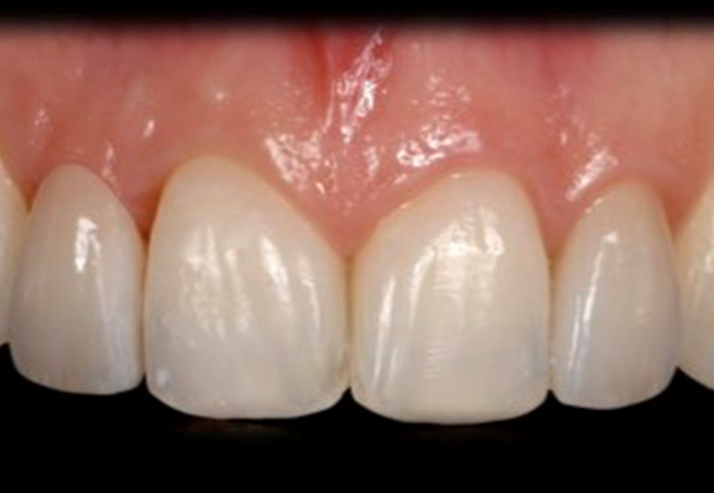
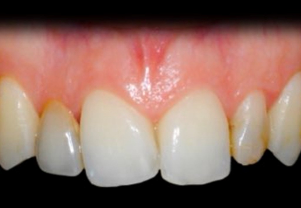
Galleria fotografica
Relatori:
Dott.ssa Camilla Molinari
La Dott.ssa Camilla Molinari è odontoiatra specializzata in Ortogantodonzia, con attività clinica e accademica di alto profilo. È titolare e Direttore Sanitario delle Cliniche Molinari Salute (Modena) e dirige il reparto di ortodonzia invisibile, odontoiatria estetica ed estetica periorale.
Svolge attività universitaria come docente presso il Master di II livello in Odontoiatria Digitale (Università di Brescia) e come Prof. a.c. presso l’Università di Padova. È relatrice in corsi e congressi nazionali e internazionali e co-founder del progetto Re-Shape Esthetics.
Ha conseguito la Specializzazione in Ortognatodonzia (Università di Ferrara) e un Master di II livello in Estetica Orale e Periorale (Università di Parma). È certificata Digital Smile Design e Invisalign Diamond Provider.
Nel 2024 ha vinto per l’Italia il concorso internazionale under 40 in estetica dentale al World Esthetic Congress (IFED).
È membro attivo di diverse società scientifiche (SIED, POIESIS, EBO, IAED) e contributor in pubblicazioni e testi scientifici in ambito ortodontico ed estetico.
Informazioni ECM
Crediti ECM: 15,0
Codice di accreditamento: 480222
Ambito/Obiettivo formativo: CONTENUTI TECNICO-PROFESSIONALI (CONOSCENZE E COMPETENZE) SPECIFICI DI CIASCUNA PROFESSIONE, DI CIASCUNA SPECIALIZZAZIONE E DI CIASCUNA ATTIVITÀ ULTRASPECIALISTICA. MALATTIE RARE
Periodo Accreditamento: 16/03/2026 – 15/03/2027
Professioni
Discipline
Medico chirurgo
- Allergologia ed immunologia clinica, Anatomia patologica, Anestesia e rianimazione, Angiologia, Audiologia e foniatria, Biochimica clinica, Cardiochirurgia, Cardiologia, Chirurgia generale, Chirurgia maxillo-facciale, Chirurgia pediatrica, Chirurgia plastica e ricostruttiva, Chirurgia toracica, Chirurgia vascolare, Continuità assistenziale, Cure palliative, Dermatologia e venereologia, Direzione medica di presidio ospedaliero, Ematologia, Endocrinologia, Epidemiologia, Farmacologia e tossicologia clinica, Gastroenterologia, Genetica medica, Geriatria, Ginecologia e ostetricia, Igiene degli alimenti e della nutrizione, Igiene, epidemiologia e sanità pubblica, Laboratorio di genetica medica, Malattie dell'apparato respiratorio, Malattie infettive, Malattie metaboliche e diabetologia, Medicina aeronautica e spaziale, Medicina del lavoro e sicurezza degli ambienti di lavoro, Medicina dello sport, Medicina di comunità, Medicina e chirurgia di accettazione e di urgenza, Medicina fisica e riabilitazione, Medicina generale (medici di famiglia), Medicina interna, Medicina legale, Medicina nucleare, Medicina termale, Medicina trasfusionale, Microbiologia e virologia, Nefrologia, Neonatologia, Neurochirurgia, Neurofisiopatologia, Neurologia, Neuropsichiatria infantile, Neuroradiologia, Oftalmologia, Oncologia, Organizzazione dei servizi sanitari di base, Ortopedia e traumatologia, Otorinolaringoiatria, Patologia clinica (laboratorio di analisi chimico-cliniche e microbiologia), Pediatria, Pediatria (pediatri di libera scelta), Privo di specializzazione, Psichiatria, Psicoterapia, Radiodiagnostica, Radioterapia, Reumatologia, Scienza dell'alimentazione e dietetica, Urologia
Odontoiatra
Odontoiatria
Iscriviti
Accedi e scegli se acquistare con bonifico bancario, paypal o carta di credito per l'attivazione immediata del corso. Puoi sospendere la visione in qualunque momento per riprenderla anche da un altro computer, tablet o cellulare.
Contenuti
Devi effettuare l'iscrizione al corso per visualizzare i contenuti
Valutazione corso
Come valuta la rilevanza degli argomenti trattati rispetto alle sue necessità di aggiornamento?
(1: Non rilevante - 5: Molto rilevante)
Come valuta la qualità educativa di questo programma FAD?
(1: Insufficiente - 5: Eccellente)
Come valuta la utilità di questo evento per la sua formazione/aggiornamento?
(1: Insufficiente - 5: Molto utile)





