Enamel Full Immersion
Corso teorico-pratico per igienisti dentali e odontoiatri
Programma
ENAMEL FULL IMMERSION è un percorso pensato per Odontoiatri e Igienisti Dentali che vogliono elevare la propria professionalità, ampliare le proprie competenze e integrare nuove prestazioni con protocolli clinici avanzati sullo smalto.
Un percorso formativo completo, costruito per potenziare la pratica quotidiana con protocolli aggiornati, prove pratiche e confronto continuo con i docenti.
ARGOMENTI:
GIORNO 13 MARZO 2026
09:15 - 13:00 / 14:00 - 19:00
► Eziologia e riconoscimento delle lesioni dello smalto
► Dalla teoria alla pratica: tecniche cliniche e gestione avanzata dei tessuti duri
GIORNO 14 MARZO 2026
09:00 - 13:00 / 14:00 - 17:00
► Lo sbiancamento dentale: scienza, tecnica e personalizzazione del risultato
► Protocolli operativi fotografici e valutazione delle lesioni dei tessuti duri
► Discussione clinica e workshop interattivi: dall'esperienza all'evoluzione professionale
Tariffa agevolata entro il 28 febbraio 2026
Quota soci UNID: € 577 + IVA
Quota per più membri dello stesso TEAM o gruppi di 3 € 547 + IVA
La quota del team può, su richiesta, essere compresa in un'unica fattura; il FAD da 50 ECM sarà disponibile per ogni partecipante.
Modalità di pagamento: Bonifico bancario
Coordinate:
Intestatario: FadMedica S.r.l.
Banca: Banca Widiba
IBAN: IT96V0344214239000080114247
Causale: “Nome e Cognome ENAMEL FULL IMMERSION – Marzo 2026”
CLICCA QUI PER ISCRIVERTI
📱📧 Per ulteriori informazioni contattaci allo 06.90407234 o scrivici a info@fadmedica.it
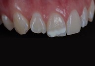
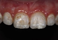
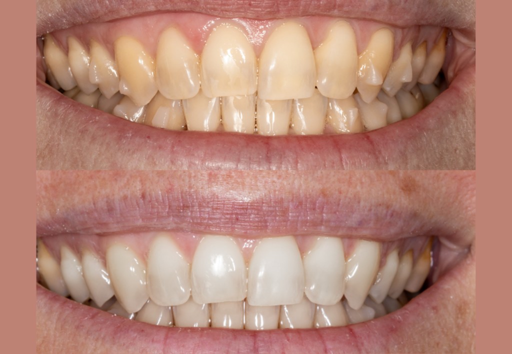
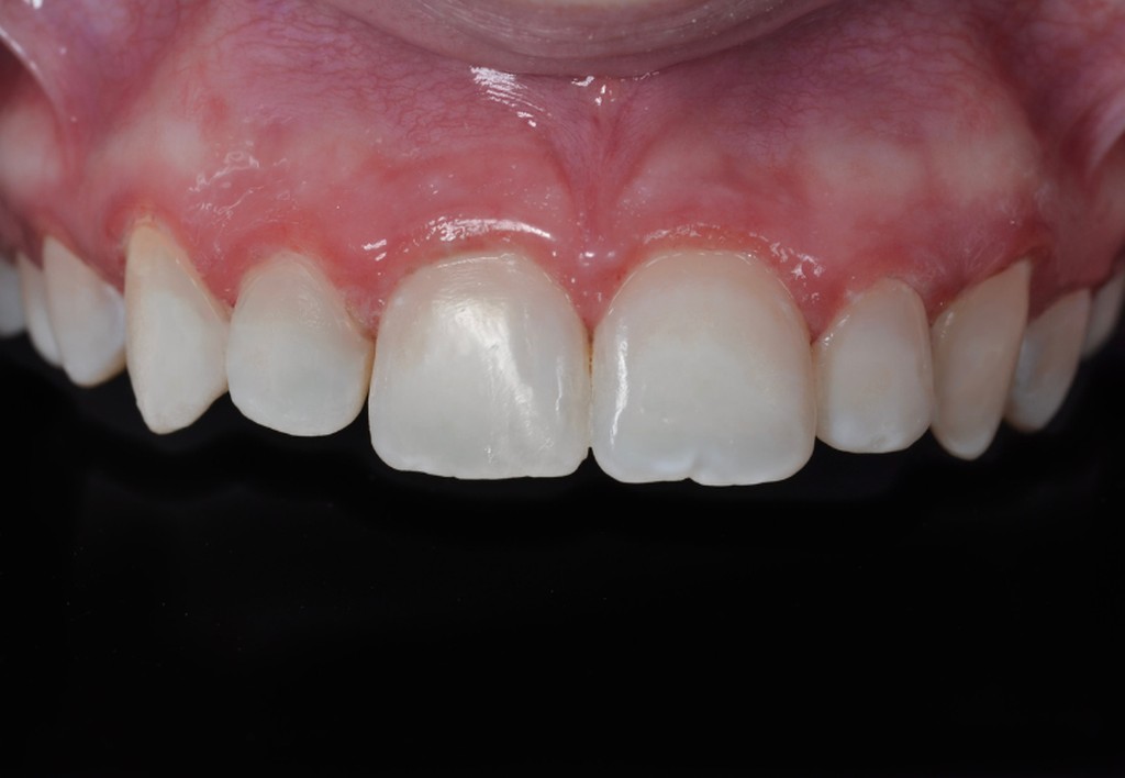
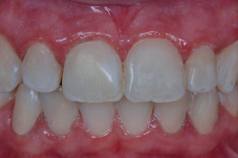
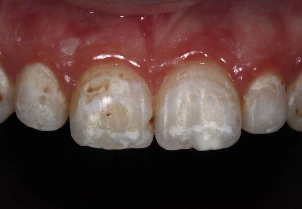
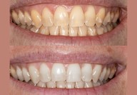
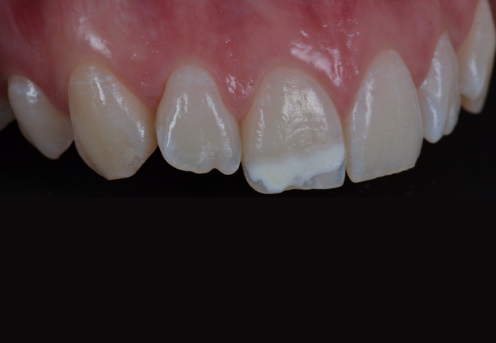
Galleria fotografica
Relatori:
Dott. Giuseppe Allocca
Laureato in Igiene Dentale Università degli studi di Milano. Docente all’insegnamento di “Scienze di Igiene Orale” , tutor clinico e coordinatore di attività di ricerca per il CLID - Università di Milano Policlinico Cà Granda e Clinica odontoiatrica. Già docente al Master Universitario di 1° livello Igiene Orale a indirizzo implantare e parodontale International University of Health Sciences Camillus. Relatore a congressi e conferenze nazionali ed internazionali. Dal 2010 incomincia ad appassionarsi alle tecniche mini invasive di rigenerazione e riparazione dello smalto dentale. Dal 2013 esegue ricerche nel campo della mini invasività e infiltrazione odontoiatrica per le più grosse aziende del settore, perfezionando materiali e protocolli clinici. Con la grande passione per la ricerca clinica si specializza sul riconoscimento e la risoluzione dei difetti dello smalto, la numerosa casistica clinica gli permette di avere affinato tecniche ed esperienza che dal 2020 mette a disposizione dei corsisti di Enamel Team.
Dott. Luca Lambri
La sua carriera accademica è iniziata con la Laurea a pieni voti conseguita nel 2013 presso l'Università Milano-Bicocca. Successivamente, ha continuato la sua collaborazione con l'ateneo ricoprendo i ruoli di Tutor e Professore a Contratto presso la stessa Università. Altamente specializzato in sbiancamenti e nell'impiego delle nuove tecnologie, in particolare il laser, è stato anche Tutor e Relatore nelle precedenti edizioni del programma di specializzazione "ENAMEL MASTER". Nel corso degli anni universitari, ha dimostrato un forte impegno nel mentoring, seguendo decine di studenti nello sviluppo della ricerca per le loro tesi di laurea. Attualmente, esercita la sua attività professionale in studi privati situati in provincia di Milano.
Dott. Loris Smeraldi
Laureato nel 2013 all’università Milano Bicocca in Igiene Dentale dopo il diploma come odontotecnico. Ha proseguito l’attività universitaria come docente a contratto di ‘Protocolli di prevenzione di patologie del cavo orale’ e tutor degli studenti nella pratica clinica fino al 2020. Durante questo periodo ha avuto modo partecipare a progetti e ricerche per lo sviluppo di tesi universitarie. Da più di 10 anni nel mondo dentale, ha sviluppato e approfondito le dinamiche legate agli Sbiancamenti e alle lesioni dello smalto con trattamenti di infiltrazione. Appassionato di viaggi e fotografia.
Dott. Davide Mariani
Laureato in Igiene Dentale presso l’Università Milano- Bicocca.
Dopo alcuni anni passati esercitando il ruolo di tutor in ambito universitario, ha sviluppato mediante lalibera professione, protocolli clinici specifici sia per adulti che per bambini. Dal 2015 inizia a frequentare corsi di parodontologia, oltre a sviluppare conoscenze in ambito di prevenzione della patologia cariosa, sbiancamento dentale e tecniche infiltrative dello smalto dentale. In costante aggiornamento su tematiche inerenti allo sviluppo di nuove tecnologie nel settore dell’igiene orale e possessore di certificazione protocollo GBT. Con la passione per la fotografia, si specializza sulla macrofotografia odontoiatrica e sulla relativa documentazione di casi clinici, offrendo collaborazioni e consulenze sia per principianti che per esperti.





